吹田市江坂の歯医者 石井歯科医院の医院 審美治療・矯正
矯正
歯並びを美しくする
見えない矯正・舌側矯正
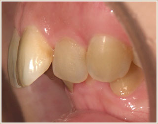
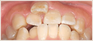
治療例1
▼治療前



▼治療後



見えない方法での歯列矯正を希望される。
舌側矯正を選択しました。


矯正治療のスタート時です。
舌側(裏側)に矯正器具を装着しますので、正面から装置は見えません。


6ヶ月後です。


11ヶ月後です。
治療期間は16ヶ月でした。
治療例2
▼治療前



▼治療後



▼矯正開始時

▼開始後7ヶ月

治療期間は、13ヶ月でした。
クリアブラケットを用いた矯正
治療例
▼治療前




▼治療後






矯正のスタート時


矯正3ヶ月後


矯正7ヶ月後
治療期間は、18ヶ月でした。
歯が前に出ていたケース
治療例
▼治療前



▼治療後




クリアブラケットを用いた頬側矯正を選択されました。
治療期間は、11ヶ月でした。
受け口だったケース
治療例
▼治療前


▼治療後


クリアブラケットを用いた頬側矯正で治療しました。

治療期間は14ヶ月でした。
開口だったケース
「開口」とは、上下の前歯があたらず、口が開きぎみの咬合を言います。
治療例
▼治療前




▼治療後




クリアブラケットを用いた頬側矯正で治療しました。

補綴治療を併せて行ったケース
クラウンをかぶせる治療と併せてきれいにしました。
治療例
▼治療前


▼治療後


クリアブラケットを用いた頬側矯正で治療しました。

治療期間は11ヶ月でした。
マウスピースによる矯正

マウスピースを使用して歯を動かします。
簡単な歯の移動に向いている治療法です。
右の写真のような取り外しのできる透明なマウスピースを作製します。
11ヶ月間マウスピースを装着しました。
▼治療前

▼治療後

関連ページ:
