吹田市江坂の歯医者 石井歯科医院の医院 噛み合わせ治療・子供の噛み合わせ矯正
子供の噛み合わせ矯正
顎や良い姿勢を育てるための噛み合わせ矯正
口唇圧と舌圧
歯は、口唇圧と舌圧のニュートラルゾーンに並んでいきます。



口や舌の悪癖
成長期に歯列に有害な外力が掛かり続けると歯列不正が起きます。






ケース1
小学校から帰宅すると、頭痛と身体の疲労で寝込んでしまう。小学校2年生~中学校2年生まで噛み合わせを見守っています。姿勢を経年的に比較しています。首の歪みも改善されていきました。







左右の足の段差から骨盤に歪みがあることも分かります。

取り外しタイプの床拡大矯正装置を用い歯列を押し拡げながら、咬合調整を行う。
数ヶ月で症状は改善する。その後、症状はなく安定しています。


装置が口に入った状態です。
小学校6年生から、埋まっていた犬歯を引っ張り出すのと、歯列を整えるためにワイヤーを用いた矯正も行う。



ケース2
身体の不調と疲労感で、不登校になる。噛み合わせを一度見て欲しいとのことで15歳で当院を受診する。
▼治療前


▼治療後


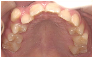
治療前と比べて治療後は噛み合わせが高くなりしっかりとしました。

咬合調整、矯正治療を行う、3ヶ月で身体のだるさはなくなり毎日元気に登校できるようになったとのこと。
▼治療前

▼治療後

姿勢の歪みも改善されました。
治療回数は8回、治療期間は約9ヶ月で終了。
その後、21歳まで再発の兆候はありません。
ケース3
受け口が気になる。6歳から12歳までの発育期をサポートしているケース。
▼6歳時

▼12歳時

6歳時には下顎が出ているのが分かります。




上顎の前歯より下顎の前歯の方が前に出ていました。12歳時には理想的な形に改善しています。
受け口の原因
・タイトな上口唇
・ルーズなオトガイの緊張
・低位で機能する舌
ムーシールドを用いました。
ムーシールドとは、受け口の治療を目的とした顎矯正装置です。
作用は上口唇圧を排除し、口唇圧のバランスを整える。
低位舌を改善し、高位で機能させ、歯の逆被蓋の改善を促します。
3歳児からの早期治療が可能です。
約1年間就寝中にのみ装着し、顎の正常な成長を促します。

ムーシールドをはめている状態です。
約1年間、毎夜就寝時に装着します。
▼治療前

▼治療後

首の歪みも治療と並行して改善していきました。
▼治療前

▼治療後

11歳頃より首の歪みと部分的な歯列の歪みが生じたため、歯列矯正を行いました。

矢印が歪んだ歯列の部分です。

治療後です。
歯列矯正の期間は5ヶ月でした。
ケース4
歯が並ぶスペースが足りない。9歳から15歳まで発育をサポートしました。
▼初診時

▼改善時

初診時の写真で示すように、口が半開きになっていました。
歯列不正に口唇力が弱い事が関与していると考え、リップデカムで口唇圧を測定することにしました。
リップデカム
口唇の圧力は歯並びに大きな影響を与えます。
その値を機械によって計測します。
コンピューターに計測データを記録します。

その結果から、パタカラ療法を行いました。
口唇力は、徐々にアップして、数ヶ月で写真の様に口が閉じられるようになりました。
パタカラ療法
リップデカム(口唇力計測器)で口唇力を測定したところ、口を閉鎖する力が弱いことが判明。
筋機能療法の一種であるパタカラ療法を行いました。



それと同時に取り外しのきく拡大床矯正装置を上下顎に入れて、歯列を押し拡げてもらいました。
口から外して、写真のようにネジを患者さんご自身で拡げていってもらいます。
毎日、少しずつ行います。
▼治療前


▼治療後


7ヶ月間で横に約4mm顎が拡がり、大体歯が並ぶスペースが出来ました。
13歳になるまで経過観察を行いました。

13歳時に上下の噛み合わせを高くするために、クリアブラケットを用いた頬側矯正を行いました。
矯正期間は、8ヶ月でした。
▼治療前

▼治療後

奥歯がしっかりしたのが分かります。
