吹田市江坂の歯医者 石井歯科医院の医院 噛み合わせ治療・大人の噛み合わせ矯正
大人の噛み合わせ矯正
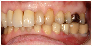
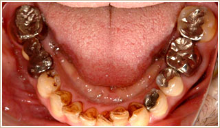
ケース1
噛みにくい。
腰や背中、肩、首の痛みを軽減したい。
口元を美しくしたい。
▼治療前



▼治療後



▼治療前

▼治療後

歪んでいた姿勢が整います。
治療過程


むし歯や歯周病の治療を行います。

歯の抜けた所にはインプラント(矢印部分)を埋入します。

下顎には歯列矯正を行いました。 歯列矯正の期間は、3ヶ月でした。


クラウンをかぶせるために、歯の形を整えます。
そして、歯型を採って模型上でセラミッククラウンを製作します。
1ヶ月に約8回の受診で、全治療期間は12ヶ月でした。
ケース2
約15年前に奥歯を抜いてから、下顎が喉の方に押し込まれていく感覚が発現。以後、数件の歯科医院で咬合治療を受けるが著明な効果がなかった。10ヶ月前から、某歯科医院でインプラント治療とクラウンの処置を受けるが、以下のような症状が改善せずに石井歯科医院に転院する。
前歯で咬みきれない、左でなんとか咀嚼できるが、右はうまく噛めない状況。前歯が強く当たるので削合して欲しい。
就眠中に下顎が後退する。頭痛。首が痛い。頭肩が重たい。顎がだるい。
▼治療前




▼治療後




治療前の写真を見ると、全体的に噛み合わせが高過ぎます。
当たっている歯と当たっていない歯の極端な高低差があります。
矢印の部は、上下の歯の距離が空いています。治療後は、噛み合わせの安定感が増したのが分かります。
治療過程


まず、歯を削合して高さを減じながら、歯と歯の高低差を無くして出来るだけ全体に咬合力を分散するようにします。
約3週間で咀嚼は出来るようになりました。


次に前歯及びクラウンのかぶせていない歯の位置を変えるため、歯列矯正を行います。
歯列矯正の期間は、7ヶ月でした。


詰めものやクラウンを入れ変えます。治療終了後の状態です。
1ヶ月に3,4回の受診で、全治療期間は15ヶ月でした。
ケース3
顎関節が引っ掛かって、時折はずれたようになる。救急車で病院に搬送されたこともある。
身体が疲労しやすいとの訴えもある。
▼治療前


▼治療後


治療前の写真では、上顎と下顎がアンバランスになって噛み合わせがしっかり当たっていないのが分かります。

クリアブラケットを用いた頬則矯正を行います。

矯正用ミニスクリューを固定源にして、上顎の左右奥歯の高低差(左が上で右が下になっています)を是正していきます。
▼治療前

▼治療後

左右高低差が是正されたのが、頭蓋骨のレントゲンで確認できます。更に、矢印で示す鼻センター部の軟骨の歪みが取れたのも分かります。
治療期間は1年9ヶ月でした。
ケース4
10年前から、咬合違和感が生じる。顎が落ち着かない。その後数件の歯科を受診するが、症状は改善ぜず。来院時の訴えは、顎の痛み、咬合不安定、それに伴い生じる身体のがたつき、多数の歯にわたる冷温痛と咬合痛、歯肉腫脹。
▼治療前

▼治療後

来院時の写真を見ると下顎の前歯が長くアンバランスなのが分かります。
これは噛み合わせが高過ぎるために生じています。治療後の写真と比較すると明かです。
▼治療前

▼治療後

オクルーザーのデータを比較すると、治療前に左の方に偏っていた咬合力が、治療後はバランス良く回復しているのが分かります。
治療過程


不適切な高さを是正するために、クラウンを外します。

外したクラウンです。

次に治療用の歯で、適正な噛み合わせになるよう調整していきます。
それと並行して、むし歯と歯周病の治療もしていきます。

調整途中の写真です。


CTのデータや各種検査で適切な噛み合わせを診断します。

最終的なクラウンに置き換えていきます。
このケースでは、歯列矯正は行っていません。
1ヶ月に2回の受診で、全治療期間は12ヶ月でした。
ケース5
左の首、肩こりがひどく、鍼灸院からの紹介で当院を受診する。噛み合わせが低く、顎が動く際前歯が引っ掛かりやすいタイプです。舌の方向に倒れていた奥歯を起こし、噛み合わせを高く設定しました。そして、前歯の並びを整え、スムーズな顎の動きへと改善しました。
▼治療前



▼治療後




歯列矯正とクラウンのやり変えをしました。
歯列矯正の期間は13ヶ月でした。
1ヶ月に2~4回の受診で、全治療期間は、2年8ヶ月でした。
ケース6
昔から「コキッ」という顎の関節音は自覚していたが、あまり気にならず治療は受けたことはなかった。近所の歯科医院で3ヶ月前にブリッジを装着したところ、低い感じがして咬合がしっくりこなかった。その後、1ヶ月前に同院でむし歯の治療をしたところ、夜中に首が痛くて汗だくになり目が覚める症状が始まる。昼も首を曲げると痛む。右の顎関節が痛い。との訴えで石井歯科医院に転院される。
▼治療前



▼治療後




クラウンやインレーのやり変えとインプラントを1本入れています。歯列矯正はしなかったケースです。
1ヶ月に3、4回の受診で、全治療期間は6ヶ月でした。
ケース7
噛み合わせが落ち着かない。長年来に渡る頭痛で困っている。
▼治療前


▼治療後


クラウンや詰めもののやり変えだけ行い、歯列矯正は必要なかったケースです。
1ヶ月に3回の受診で、全治療期間は、6ヶ月でした。
ケース8
噛み合わせが落ち着かない。身体が疲労しやすい。
▼治療前



▼治療後



クラウンや詰めもののやり変えのみで、歯列矯正は行わなかったケースです。
オクルーザーの術前データでは、奥歯があまりあたっておらず前歯の方に重心が偏っています。
治療後のデータでは、中心付近に重心が移動しバランスよく噛めているのが分かります。
1ヶ月2回の受診で、全治療期間は7ヶ月でした。
