吹田市江坂の歯医者 石井歯科医院の医院・抜けた歯の治療 歯牙移植術・歯の移動・ブリッジ
歯牙移植術
症例1


左はCTの3D画像、右はX軸方向から見たCTレントゲン。
矢印の歯は状態が悪く、抜歯の診断となりました。

抜いた歯です。
汚れているのが写真からも見て判ります。


協議の上、その奥にはえている親不知の歯を移植することになりました。
赤丸は抜歯した部位です。その奥にはえている親不知の歯を抜いて矢印のように赤丸の部位に移植します。


矢印の歯が移植した親不知です。ちょうどあてはまっているのが分かります。
手術後約1ヶ月で、咀嚼出来るようになります。

移植中に撮影した親不知の写真です。
赤く見えるのは、歯根膜細胞です。
この細胞が豊富に在ると、移植後の経過は良好になります。
さらに、PRPを歯根膜細胞に作用させると治癒が早くなります。

歯に引っ張る力を加えると、歯根膜細胞が増加します。
その原理を応用し、このケースでは、左の写真のように数週間ゴムで親不知を引っ張ってから、移植をしました。
症例2

黄色い矢印の歯を抜去して、抜去したところに青矢印の親不知を移植します。

写真で見てみましょう。
黄色い矢印の歯を抜去して、抜去したところに青矢印の親不知を移植します。

移植中の親不知です。
赤く見えるのは歯根膜細胞で、かなり豊富にあります。

赤丸から矢印の位置へ移植しました。
▼治療前

▼治療後

歯の移動
矯正治療を応用し、抜けた部位に向かって歯を動かします。
症例1

傾斜している親不知を矢印の部位に移動させます。

①矯正装置を部分的に着けて親不知を引っ張ってきます。

②3ヶ月後です。
移動距離の半分ぐらい動いてきました。

③傾斜していた歯も起きあがり、終了間近です。

④装置をはずして、1年後です。
問題なく噛める状態が維持されています。

治療後のレントゲンです。
赤丸の部位から移動しました。
症例2

矢印で示すむし歯を抜歯します。

抜いた歯の写真です。

①抜歯とむし歯の処置をした後の写真です。左右の赤丸が歯の抜けた部位になります。

②矢印の方向へ歯を移動するために矯正治療を始めます。

③9ヶ月で奥歯が前に移動しました。

④移動した歯にセラミック冠を被せて綺麗に仕上がりました。
歯の移植と移動の違いについて
歯の移植
歯の移植は、抜歯などの外科処置が必要です。治療期間は約1ヶ月半で、歯の移動術より短期間となります。
若年者を除いては、抜歯に伴い歯髄(神経)が壊死するため、壊死歯髄を取り除く処置が必要になります。
その後、歯が割れやすくなりますので、冠をかぶせてカバーする対応も必要になります。
歯の移動
歯の移動は、矯正装置を着けて行います。治療期間は1年程かかります。
歯髄(神経)は、生きたままで壊死することはありません。
歯周組織が再生しやすいので、見通しがたてやすいという利点があります。
ブリッジ
症例1

矢印の歯を抜きました。

抜いた後の2次元のレントゲン像です。赤丸が抜いた部位です。

抜いた部位の写真です。
矢印で示しています。


CTの断層レントゲン像です(横方向からのスライス画像)。
赤い楕円形内に黒く太い線に見える部位には、太い血管と神経が走っています(下歯槽管という)。


前後方向からのスライス画像。赤丸が下歯槽管の断面。
インプラントを埋入する場合、矢印の距離が最低9mmは必要です。
このケースでは、6mmしかないので、骨量不足でインプラントは禁忌です。
骨を増加させてからインプラントを埋入する方法も検討しましたが、患者さんから全身状態や生活の状況も併せて考えて、「インプラントの手術は避けたい」とのお話がありました。
ただし、固定式の方法を希望しておられたので、ブリッジを選択することになりました。


矢印で示した歯を支台にするために削りました。

①歯型を採って模型を作り、

②ジルコニア性のセラミックブリッジを作製しました。


冠を口の中に装着したところです。
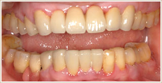
症例2

上顎の前歯3本と大臼歯1本が抜けています。

正面から見た写真です。下顎の奥歯も抜けています。

前歯には写真の義歯をはめていますが、落ちやすく使いづらいとのお話を受けました。
患者さんは、歯の色や形の悪さも気にしていらっしゃいます。
固定式の歯を希望されていましたので、インプラントの説明をさせていただきましたが、75歳を越えるご高齢でインプラント手術は耐え難いとのご返事を受けました。
そこで上顎は審美性の良いセラミックブリッジを、下顎はセラミッククラウンとより固定式に近い使い心地を得られるアタッチメント義歯を勧めました。

矢印の歯を支台用に切削しました。

上顎に冠を装着した写真です。

正面から見た写真です。
美しい仕上がりになりました。
患者さんからも「使い心地が良く、快適だ」とのお言葉を頂きました。
