吹田市江坂の歯医者 石井歯科医院の医院 審美治療・審美補綴
審美補綴
冠や詰め物で口元を美しくする。
多数歯に及ぶ治療でダイナミックに変化した例
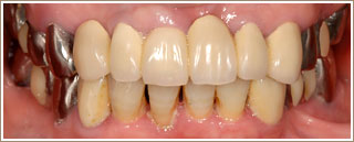
治療例1
▼治療前



▼治療後



治療例1の治療過程

むし歯や歯周病の治療を行い、冠をかぶせるために歯をきれいに形成します。

歯型を正確に採得します。

模型上でセラミックの冠を作製します。
治療例2
▼治療前



▼治療後



治療例3 金属アレルギーの問題もあり、金属を使用せず審美的に治療した例です。
▼治療前


▼治療後


治療例3の治療過程

冠をかぶせるため、きれいに形成します。

歯型を採得し、模型を作ります。

その上でセラミックの冠を作製します。
治療例4
▼治療前



▼治療後



前歯の治療例
治療例1
▼治療前

▼治療後

矢印の指す変色した歯にセラッミククラウンをかぶせました。
治療例2
▼治療前

▼治療後

歯茎のすき間が目立ち、歯ぐきの黒い色が気になる。
歯ぐきの黒い色素をレーザー手術で除去した後、セレックによるオールセラミッククラウンを装着しました。
治療例3
▼治療前

▼治療後

矢印の変色した歯にかぶせを施します。

セレックシステムでオールセラミッククラウンを作製しました。
治療例4
▼治療前

▼治療後

セレックシステムのオールセラミッククラウンを作製し、上顎の前歯2本に装着しました。
矢印の下顎前歯の隙間はレジンを歯に接着させて埋めました。
治療例5
▼治療前

▼治療後

前歯2本に大きなむし歯があります。その処置後、セラミッククラウンを装着します。
治療例6
▼治療前

▼治療後

大きなむし歯がありますが、治療を進めた上で硬質レジン前装冠を装着します。
奥歯の治療例
治療例1
▼治療前


▼治療後


咬み合わせの治療も併せて行いました。
治療例2
▼治療前


▼治療後


金属アレルギーの治療も併せて行いました。

外した金属です。
関連ページ:
