歯の色を診断します

クリスタルアイの写真 クリスタルアイで歯の色を計測し、診断とカウンセリングを行います。

デジタルデータを解析しているところ (株)OLYMPUS社製のクリスタルアイは特殊なカメラで歯の色をコンピューターに取り込み、そのデジタルデータを解析する装置です。

歯の色を詳細に解析診断しているところ 歯の色を詳細に解析診断します。

治療結果をコンピューターシミュレーションしているところ 治療結果をコンピューターシミュレーションしたり、治療効果の診断に重要な役割を果たします。



閉じる

診療室で行うオフィスホワイトニング

ホワイトニング専用ライト 先ず歯の表面をきれいにし、歯茎に薬剤が付かないように樹脂でプロテクトし、薬剤を歯の表面に付けてホワイトニング専用ライトを10分間×3回照射します。
個人によって治療目標・効果はことなりますが、概ね2~5回程度の受診が必要です。

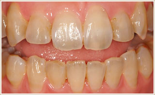
治療例

オフィスホワイトニングを2か月間に4回行った例。

オフィスホワイトニング治療前
治療前

オフィスホワイトニング治療後 2ヶ月4回の状態
治療後

 

オフィスホワイトニングを2か月間に3回行った例。

オフィスホワイトニング治療前
治療前

オフィスホワイトニング治療後 2ヶ月3回の状態
治療後



閉じる

ご自宅で行うホワイトニング

お渡しするホワイトニングキットにあるマウスピースにブリーチ剤をつけてから歯に取り付けます。
これを毎日2時間ほど行い、数週間続けます。

 

ホワイトニングキット

ホワイトニングキット マウスピース

ホワイトニングキット マウスピースにブリーチ剤を塗布しているところ

ホワイトニング後の写真 ご自宅で気になる歯の色を白くできます。
通院時間が取りにくい方や家で行う方が良いという方にオススメです。

 

ホームホワイトニングを4週間毎日行った例。

オフィスホワイトニング治療前
治療前

ホームホワイトニング治療後 4週間毎日
治療後

 

ホームホワイトニングを2日に一回程度で3ヶ月行った例。

オフィスホワイトニング治療前
治療前

ホームホワイトニング治療後 3ヶ月2日に一度
治療後

 

ホームホワイトニングを3日に1回程度で2ヶ月行った例。

オフィスホワイトニング治療前
治療前

ホームホワイトニング治療後 2ヶ月3日に1回
治療後



閉じる

より早い効果を望む方にはデュアルホワイトニング

オフィスホワイトニングとホームホワイトニングを併用すると、その効果は早まります。

オフィスホワイトング

オフィスホワイトング

ホームホワイトニング

治療例

オフィスホワイトニング2回とホームホワイトニングを3週間毎日行った例。

オフィスホワイトニンとホームホワイトニングの併用 治療前
治療前

オフィスホワイトニンとホームホワイトニングの併用 治療後 3週間毎日
治療後

 

オフィスホワイトニング2回とホームホワイトニングを2週間毎日行った例。

オフィスホワイトニンとホームホワイトニングの併用 治療前
治療前

オフィスホワイトニンとホームホワイトニングの併用 治療後 2週間毎日
治療後



閉じる

ホワイトニング

戻る

悩み 歯の色が気になる、歯を白くしたい

© ISHII DENTAL CLINIC. All Rights Reserved.