治療例1

見えない方法での歯列矯正を希望される。舌側矯正を選択しました。

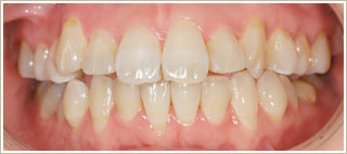
歯列矯正治療前 正面
治療前

歯列矯正治療後 正面
治療後

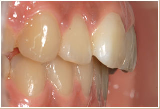
歯列矯正治療前 上顎
治療前

歯列矯正治療後 上顎
治療後

歯列矯正治療前 下顎
治療前

歯列矯正治療後 下顎
治療後

 

矯正治療のスタート時です。
舌側(裏側)に矯正器具を装着しますので、正面から装置は見えません。

舌側(裏側)に矯正器具を装着した 正面からは見えない
治療前

舌側(裏側)に矯正器具を装着した 裏側にはしっかりと装着されているのが分かる
治療後

 

6ヶ月後です。

舌側(裏側)に矯正器具を装着6ヶ月 正面からは見えない
治療前

舌側(裏側)に矯正器具を装着6ヶ月 裏側にはしっかりと装着されているのが分かる
治療後

 

11ヶ月後です。

舌側(裏側)に矯正器具を装着11ヶ月 正面からは見えない
治療前

舌側(裏側)に矯正器具を装着11ヶ月 裏側にはしっかりと装着されているのが分かる
治療後

治療期間は16ヶ月でした。



閉じる

治療例2

見えない方法での歯列矯正を希望される。舌側矯正を選択しました。

歯列矯正治療前 正面
治療前

歯列矯正治療後 正面
治療後

歯列矯正治療前 別角度
治療前

歯列矯正治療後 別角度
治療後

歯列矯正治療前 側面
治療前

歯列矯正治療後 側面
治療後

歯列矯正治療前 下顎
矯正開始時

歯列矯正治療後7ヶ月 下顎
開始後7ヶ月

治療期間は、13ヶ月でした。



閉じる

治療例

クリアブラケットを用いた矯正 治療前 正面
治療前

クリアブラケットを用いた矯正 治療後 正面
治療後

クリアブラケットを用いた矯正 治療前 正面の拡大
治療前

クリアブラケットを用いた矯正 治療後 正面の拡大
治療後

クリアブラケットを用いた矯正 治療前 上顎
治療前

クリアブラケットを用いた矯正 治療後 上顎
治療後

クリアブラケットを用いた矯正 治療前 下顎
治療前

クリアブラケットを用いた矯正 治療後 下顎
治療後

 

矯正のスタート時

クリアブラケットを用いた矯正 スタート時 正面
治療前

クリアブラケットを用いた矯正 スタート時 下顎
治療後

 

矯正3ヶ月後

クリアブラケットを用いた矯正 3ヶ月 正面
治療前

クリアブラケットを用いた矯正 3ヶ月 下顎
治療後

 

矯正7ヶ月後

クリアブラケットを用いた矯正 7ヶ月 正面
治療前

クリアブラケットを用いた矯正 7ヶ月 下顎
治療後

矯正期間は18ヶ月でした。



閉じる

治療例

歯が前に出ていた時の矯正 治療前 正面
治療前

歯が前に出ていた時の矯正 治療後 正面
治療後

歯が前に出ていた時の矯正 治療前 上顎
治療前

歯が前に出ていた時の矯正 治療後 上顎
治療後

歯が前に出ていた時の矯正 治療前 側面
治療前

歯が前に出ていた時の矯正 治療後 側面
治療後

クリアブラケットを用いた頬側矯正 クリアブラケットを用いた頬側矯正を選択されました。

治療期間は11ヶ月でした。



閉じる

治療例

受け口だった時の矯正 治療前 正面
治療前

受け口だった時の矯正 治療後 正面
治療後

受け口だった時の矯正 治療前 側面
治療前

受け口だった時の矯正 治療後 側面
治療後

受け口だった時の矯正 治療後14ヶ月 正面 クリアブラケットを用いた頬側矯正で治療しました。

治療期間は14ヶ月でした。



閉じる

「開口」とは、上下の前歯があたらず、口が開きぎみの咬合を言います。

治療例

開口だった時の矯正 治療前 斜め正面
治療前

開口だった時の矯正 治療後 斜め正面
治療後

開口だった時の矯正 治療前 側面
治療前

開口だった時の矯正 治療後 側面
治療後

開口だった時の矯正 治療前 正面
治療前

開口だった時の矯正 治療後 正面
治療後

開口だった時の矯正 治療前 横顔
治療前

開口だった時の矯正 治療後 横顔
治療後

開口だった時の矯正 治療後 正面 クリアブラケットを用いた頬側矯正で治療しました。



閉じる

矯正

戻る

歯並びを美しくする

見えない矯正・舌側矯正

 

クリアブラケットを用いた矯正

 

歯が前に出ていたケース

 

受け口だったケース

 

開口だったケース

 

© ISHII DENTAL CLINIC. All Rights Reserved.