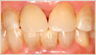
治療例1
|
|
|
|
|
|
治療例1の治療過程
むし歯や歯周病の治療を行い、冠をかぶせるために歯をきれいに形成します。
歯型を正確に採得します。
模型上でセラミックの冠を作製します。

|
|
|
|
|
|
治療例1の治療過程
むし歯や歯周病の治療を行い、冠をかぶせるために歯をきれいに形成します。
歯型を正確に採得します。
模型上でセラミックの冠を作製します。

金属アレルギーの問題もあり、金属を使用せず審美的に治療した例です。
|
|
|
|
治療例3の治療過程
冠をかぶせるため、きれいに形成します。
歯型を採得し、模型を作ります。
その上でセラミックの冠を作製します。