症例1
他病院でインプラント治療を希望したが断られる。その後、あきらめずにインターネットを検索し当院へ来院される。
【56歳 男性のケース】

術前 正面観

術前上顎観

術前下顎観

術前パノラマX線写真
この後、2本の歯を抜去しました。

術後 正面観

術後上顎観

術後下顎観

術後パノラマX線写真
埋入した12本のインプラントは、顎骨と結合しています。
他病院でインプラント治療を希望したが断られる。その後、あきらめずにインターネットを検索し当院へ来院される。
【56歳 男性のケース】

術前 正面観

術前上顎観

術前下顎観

術前パノラマX線写真
この後、2本の歯を抜去しました。

術後 正面観

術後上顎観

術後下顎観

術後パノラマX線写真
埋入した12本のインプラントは、顎骨と結合しています。
もうこれ以上、取り外すタイプの入れ歯を使用したくないとの希望で当院へ来院される。上顎12本、下顎4本の歯が抜けている。
|
|
|
|
|
|
|
|

正面治療後
インプラントの選択が最適と思われるケース。交通事故で歯を喪失した、その後の治療をしたい。
抜けた部の両隣りの歯は今まで治療したことがない。

これにブリッジを適用すると、両隣りの歯(特にエナメル質)を治療上削らざるを得ません。
そこで、両隣りの歯を傷つけずに歯を作製できるインプラントを選択しました。
インプラントの治療後のCT写真

健全なブリッジと同じ様に、よく噛めて取り外しがない状態にしたい。
|
|
治療過程
左下奥にブリッジが入っていたが、支台歯が重度の歯周病に罹患しており、やむなくブリッジごと抜歯をする。
抜いたブリッジの歯です。
インプラント埋入後のレントゲン写真です。
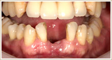
下顎の前歯が抜けた状態になっている。
下顎の前歯が抜けた状態になっています。
ブリッジを選択する場合には、歯を写真のように削る必要があります。

それには抵抗があるため、義歯を使用しておられました。
・義歯をはめるためのワイヤーが見えるのが嫌だ。
・取り外しが煩わしい。
・義歯の周りに食渣が残るのが気になる。
・前歯の噛み切りが悪い。
等の訴えから、インプラントを選択されました。
インプラントにセラミックの冠を装着した状態です。
CT写真の3D画像です。
矢印がインプラントになります。
ブリッジが外れて来院される。以前から度々ブリッジが外れ、セメントで付け直すことを繰り返されています。

外れたブリッジです。
人工歯に接着部になる金属板がついています。このような形のブリッジを接着ブリッジと呼びます。
通常のブリッジは図のように歯を削りこんで被せる形態になりますが、接着ブリッジは、歯を削る量を出来るだけ少なくして、セメントで歯に接着する方法です。
出来るだけ歯を削りたくないという要望から、接着ブリッジを選択されていたようです。
接着ブリッジが口の中に装着された写真です。
金属板を歯の裏側に接着します。
表側から見た所です。黄色の矢印が人工歯になります。
一見すると裏側の金属は、表側に出ていないように見えます。
ところが、透明度の高い歯の場合、写真の赤矢印のように金属色が透けて、歯がやや黒く見えてしまうのが、接着ブリッジの欠点の一つです。
最大の欠点は、セメントが時間と共に劣化してしまうので、時々、ブリッジが外れてしまう点です。
今回ブリッジが外れたのを機にインプラント治療法を選択されました。
埋入されたインプラントのX線写真です。
インプラントのネジ部が見えています。
ここにセラミック冠を装着します。
自然感のある人工歯が入りました。
裏側です。